Descoberta faz parte de um estudo publicado na revista Nature Medicine; doença foi classificada em 6 tipos biológicos distintos.
O tratamento para depressão pode ser um longo caminho. A fórmula é quase sempre a mesma, no mundo todo: recomendam afastamento, descanso, prática de atividades físicas, terapia e remédios.
Segundo especialistas da Universidade de Stanford, nos Estados Unidos, a estratégia é parecida em todo o canto por que a ciência ainda não conseguiu criar uma maneira de encontrar um diagnóstico definitivo.
Partindo dessa premissa, os pesquisadores decidiram conduzir um estudo para tentar resolver essa lacuna. E eles descobriram que algumas das respostas podem estar dentro de uma tomografia cerebral.
Como foi feito esse estudo
Os cientistas avaliaram 801 pacientes que foram previamente diagnosticados com depressão ou ansiedade.
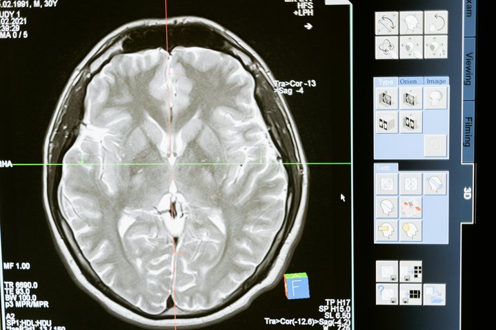
Todos eles foram submetidos a um exame de imagens chamado ressonância magnética funcional (ou fMRI), para medir a atividade cerebral.
Eles examinaram o cérebro dos participantes em repouso e quando estavam envolvidos em diferentes tarefas destinadas do dia a dia.
O objetivo era testar o funcionamento cognitivo e emocional do cérebro de todos eles.
Na sequência, os pesquisadores usaram uma abordagem de aprendizado de máquina conhecida como análise de cluster para agrupar as imagens cerebrais dos pacientes.
Foi aí que eles identificaram seis padrões distintos de atividade nas regiões cerebrais que estudaram.
Vale destacar ainda que os autores também distribuíram aleatoriamente 250 participantes para receber psicoterapia comportamental ou um dos três antidepressivos mais comuns nos EUA: venlafaxina, escitalopram ou sertralina.
Os tipos e candidatos a tratamentos
Os seis biótipos de depressão encontrados pelos autores incluem:
1) Um caracterizado por hiperatividade em regiões cognitivas, que foi associado a mais ansiedade, preconceito negativo, desregulação de ameaças e anedonia do que outros biotipos. Esses participantes tiveram pior desempenho em tarefas de funções executivas, não conseguiram tomar boas decisões e se distraíam muito facilmente. Eles também tiveram a melhor resposta ao antidepressivo venlafaxina.
2) Outro biotipo foi marcado por níveis mais elevados de conectividade cerebral em três regiões associadas à depressão e à resolução de problemas. Esses se saíram bem em tarefas cognitivas e reagiram melhor à psicoterapia comportamental.
3) Houve também um biotipo que se distinguia por ter os níveis mais baixos de atividade no circuito cerebral que controla a atenção. De acordo com os pesquisadores, esses pacientes precisar primeiro de medicação para depois fazer a terapia.
4) Os autores também encontraram um biotipo caracterizado por alta reatividade emocional, o que significa que os cérebros dos participantes foram mais afetados por estímulos emocionais, como suas próprias emoções ou expressões faciais das pessoas.
5) Um outro biotipo foi associado a menor atividade nas regiões cognitivas do cérebro e menor conectividade nas regiões emocionais, o que significa que estes participantes tiveram dificuldade em responder à informação cognitiva e em regular emoções negativas.
6) O sexto biotipo identificado foi o mais curioso: os exames mostraram o cérebro sem alterações, como se fossem pessoas sem a doença. Os cientistas disseram acreditar que essa descoberta pode significar que toda a biologia cerebral subjacente à depressão ainda não foi totalmente descoberta.
É o início de uma nova era para o tratamento da depressão?
A resposta é não. Pelo menos não ainda. Os próprios autores reconhecem que o número de pacientes estudados é pequeno. E o grupo não traduz um recorte fiel do que seria a nossa sociedade: dos participantes, apenas 2% eram negros, por exemplo.
Além disso, os 250 participantes do tratamento não foram randomizados com base em seus biotipos. Sem contar que o estudo investigou apenas uma forma de psicoterapia e três medicamentos, sendo que no mundo real existem muitos de cada um.
Isso significa que o artigo científico não vale de nada? Também não! Bem longe disso, aliás. O estudo dá um caminho a ser seguido. Os especialistas defendem agora a realização de novas pesquisas para se aprofundar no assunto.
#1 on 2024-jun-29 sáb 06:54+-10800

